Abuelos

Abuela descubre que llevó una aguja en el cerebro por más de 80 años

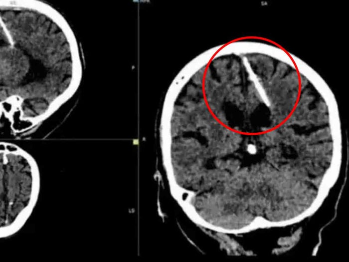
Cerebro de abuelita con aguja

Los médicos revelaron una posible hipótesis.

Redes Cerebro de abuelita con aguja

Lo que se suponía que sería un chequeo médico de rutina, se transformó en una sorprendente revelación en Rusia, cuando especialistas descubrieron una aguja de 3 centímetros de longitud en el cerebro de una mujer de 80 años.

Según el informe del Ministerio de Salud, los radiólogos identificaron el objeto durante una radiografía. Este incidente recuerda a un caso previo, donde a un soldado afgano se le encontró un explosivo en su cabeza hace varios años.

Lea también: [Video] Abuela de 104 años cumplió su sueño y saltó en paracaídas

Aunque no se han proporcionado detalles precisos sobre el lugar y la fecha exacta del suceso, las autoridades sanitarias han confirmado que la aguja se encontraba en el lóbulo parietal izquierdo de esta mujer. Sorprendentemente, parece que la aguja estuvo en su cerebro desde su infancia, y nunca le causó molestias ni dolores de cabeza.

Los médicos que examinaron el caso explicaron que la aguja probablemente fue introducida en el cráneo de la paciente durante su niñez, como una práctica desesperada que solían llevar a cabo los padres en tiempos de guerra y hambruna, como ocurrió durante la Segunda Guerra Mundial.

Lea más: Video: Conductor sufrió una convulsión mientas parqueaba: Una abuela perdió la vida

En aquel entonces, los progenitores introducían una aguja en un punto blando del cráneo de los recién nacidos, conocido como la fontanela, donde los huesos del cráneo aún no se habían fusionado. El punto se cerraba y ocultaba la aguja, provocando la muerte del bebé.

A pesar del sorprendente hallazgo, los médicos han decidido no extraer la aguja del cerebro de la mujer, ya que no representa un peligro inmediato para su salud.

Dado su avanzada edad, una cirugía podría ser riesgosa y grave para su bienestar, y la paciente ha vivido sin problemas de salud a lo largo de toda su vida.